URGENCIAS LLAMA AL (961) 2155.411


URGENCIAS

Alta especialidad en Osteosíntesis Avanzada

Qué es la Osteosíntesis

La osteosíntesis es el término que se emplea para describir la intervención mediante la cual se vuelven a alinear los fragmentos de hueso fracturado y se mantienen en posición con elementos externos metálicos. Estos pueden ser tornillos, placas o clavos. 

La ostesíntesis de hoy considera además de la reducción y fijación estable de la fractura, las variables biomecánicas y la importancia fisiológica de los tejidos blandos (aquellos no óseos que se relacionan con el esqueleto). 

Para ello se han desarrollado técnicas de osteosíntesis mínimamente invasivas, permitiendo una recuperación precoz de los pacientes. 

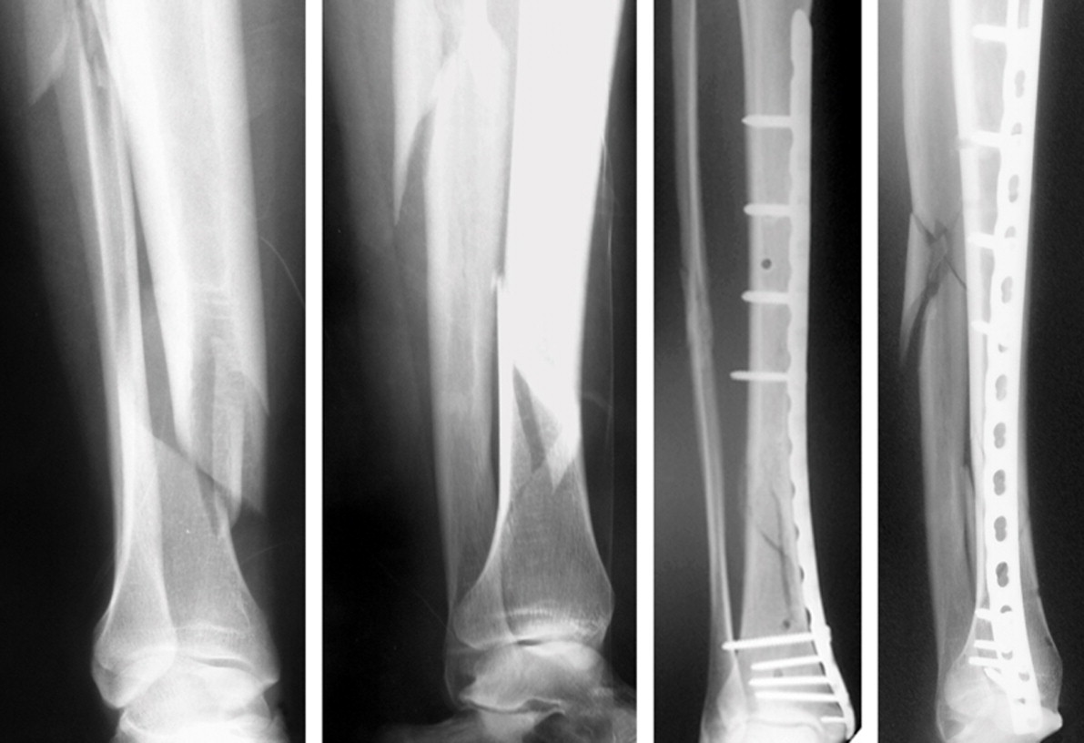
Padecimientos tratados con Osteosíntesis
Fracturas de
Clavos de fijación en
Alambres de fijación en

El resultado final de una osteosíntesis debería ser la restauración anatómica y de la función de hueso comprometido mientras se cura la fractura.

Pide una cita conmigo. Te atiendo con gusto
Traumatología & Ortopedia. Alta Especialidad en Lesiones y Fracturas complejas

La osteosíntesis abarca 3 fases, la primera es la “exposición de fractura” y luego se procede a reducir y fijar la fractura de manera temporal. Por último, se realiza la fijación definitiva y consecuencia se logra que cómo funciona la osteosíntesis sea exitosa.

Entre los recursos utilizados están los pines, alambres, agujas, clavos, tornillos y placas. Estos están fabricados con polímeros bioabsorbibles y aleaciones de titanio.

¿Cómo funciona la osteosíntesis?

A la hora de tratar una fractura es primordial que el médico piense primeramente qué principio biomecánico va aplicar y luego en el tipo de implante. Los principios biomecánicos que se deben considerar para llevarla a cabo la osteosíntesis son los siguientes:

Compresión: cuando el cirujano aplica carga directamente en las porciones de hueso por medio de implantes.

Protección: cuando la comprensión no es suficiente y requiere de implantes adicionales para complementarla y evitar que falle.

Tirante: cuando se aplica a la superficie convexa del hueso afectado por una fractura transversal un implante tensador.

Sostén: son implantes que usan para sustituir provisionalmente un soporte óseo.

Tutor: es el implante que sirve para estabilizar, alinear y guiar las porciones de hueso para que hagan contacto dinámicamente hasta que sean solidificadas.

Es importante señalar que estos principios biomecánicos de la osteosíntesis se basan en ciertos elementos. Entre ellos el hueso comprometido, la parte del hueso afectado, la conformación de la fractura, el tipo de procedimiento y el implante colocado en el hueso afectado.